/*GTranslate*/
·Î±×ÀΠȸ¿ø°¡ÀÔ

¿ÀÅ´½ºÇǺΰú

ÁýÁßÄ¡·á

³²¸ô·¡ °í¹ÎÇÏ´ø ¿©·¯ºÐÀÇ °í¹ÎÀ» ±ò²ûÇÏ°Ô ÇØ°áÇØ µå¸³´Ï´Ù.

°Ç¼±/¹é¹ÝÁõ

°Ç¼±/¹é¹ÝÁõ

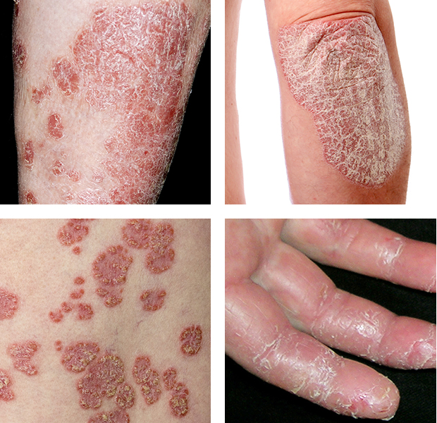
¿ÀÅ´½ºÇǺΰú´Â ´ëÇ¥ÀûÀÎ ÇǺθ¸¼ºÁúȯÀÎ
°Ç¼±°ú ¹é¹ÝÁõ¿¡µµ ÃÖ¼±ÀÇ Ä¡·á¸¦ ´ÙÇϰí ÀÖ½À´Ï´Ù.

°Ç¼± ÇǺÎÁõ»ó

°Ç¼± ÇǺΠġ·á¹æ¹ý

´Ù¾çÇÑ ÀÓ»ó ÇüŸ¦ °¡Áö´Âµ¥ ÁúȯÀÇ »óȲ°ú ÇüÅ¿¡ µû¶ó¼­ ÀûÀýÇÑ Ä¡·á¹ýÀ» ¼±ÅÃÇÏ¿© º¹ÇÕÄ¡·á¸¦ ½ÃÇàÇÕ´Ï´Ù.

±¤È­ÇÐ ¿ä¹ý
¹ÐºÀ ¿ä¹ý
º´º¯ ³» ÁÖ»ç ¿ä¹ý
¸é¿ª ¾ïÁ¦Á¦ ¿ä¹ý
º¹¿ë ¾à, ¹Ù¸£´Â ¾à
ÇǺΠÀ庮 °³¼± ¿ä¹ý

¹é¹ÝÁõ Áõ»ó

¹é¹ÝÁõ Ä¡·á¹æ¹ý

´Ù¾çÇÑ ÀÓ»ó ÇüŸ¦ °¡Áö´Âµ¥ ÁúȯÀÇ »óȲ°ú ÇüÅ¿¡ µû¶ó¼­ ÀûÀýÇÑ Ä¡·á¹ýÀ» ¼±ÅÃÇÏ¿© º¹ÇÕÄ¡·á¸¦ ½ÃÇàÇÕ´Ï´Ù.

±¤È­ÇÐ ¿ä¹ý
ÇǺΰúÀû
Àڿܼ± Ä¡·á ¿ä¹ý
º´º¯ ³» ÁÖ»ç ¿ä¹ý
¸é¿ª ¾ïÁ¦Á¦ ¿ä¹ý
º¹¿ë ¾à, ¹Ù¸£´Â ¾à