/*GTranslate*/
³²¸ô·¡ °í¹ÎÇÏ´ø ¿©·¯ºÐÀÇ °í¹ÎÀ» ±ò²ûÇÏ°Ô ÇØ°áÇØ µå¸³´Ï´Ù.
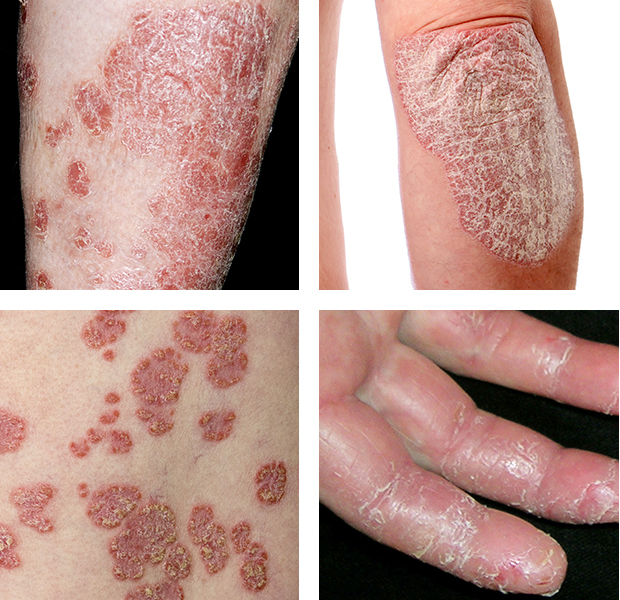
´Ù¾çÇÑ ÀÓ»ó ÇüŸ¦ °¡Áö´Âµ¥ ÁúȯÀÇ »óȲ°ú ÇüÅ¿¡ µû¶ó¼ ÀûÀýÇÑ Ä¡·á¹ýÀ» ¼±ÅÃÇÏ¿© º¹ÇÕÄ¡·á¸¦ ½ÃÇàÇÕ´Ï´Ù.
´Ù¾çÇÑ ÀÓ»ó ÇüŸ¦ °¡Áö´Âµ¥ ÁúȯÀÇ »óȲ°ú ÇüÅ¿¡ µû¶ó¼ ÀûÀýÇÑ Ä¡·á¹ýÀ» ¼±ÅÃÇÏ¿© º¹ÇÕÄ¡·á¸¦ ½ÃÇàÇÕ´Ï´Ù.